
Kieferorthopädie am Schlosspark
Dr. med. dent. Frank Friesen
Zahnärztin Natalia Villegas mit Schwerpunkt Kieferorthopädie
Zahnärztin Natalia Villegas mit Schwerpunkt Kieferorthopädie
Herausnehmbare Zahnspange
Häufig beginnt die kieferorthopädische Therapie bei Kindern mit einer herausnehmbaren Zahnspange. Diese werden individuell in unserem hauseigenen Labor aus Kunststoff für den Ober- oder Unterkiefer hergestellt. Insbesondere bei einer falschen Lage des Unterkiefers kommen funktionskieferorthopädische Geräte wie Aktivator oder Fränkel zum Einsatz.
Welche herausnehmbare Zahnspange bei Ihrem Kind verwendet wird, entscheiden wir nach erfolgter Diagnostik und gemeinsamer Besprechung des Behandlungsplans.
Häufig beginnt die kieferorthopädische Therapie bei Kindern mit einer herausnehmbaren Zahnspange. Diese werden individuell in unserem hauseigenen Labor aus Kunststoff für den Ober- oder Unterkiefer hergestellt. Insbesondere bei einer falschen Lage des Unterkiefers kommen funktionskieferorthopädische Geräte wie Aktivator oder Fränkel zum Einsatz.
Welche herausnehmbare Zahnspange bei Ihrem Kind verwendet wird, entscheiden wir nach erfolgter Diagnostik und gemeinsamer Besprechung des Behandlungsplans.
Feste Zahnspange
Die festsitzende Zahnspange ist eine Behandlungsmethode der Kieferorthopädie, die es möglich macht, Zähne dreidimensional zu bewegen. Diese Zahnspange besteht aus Metall- oder Keramikbrackets die durch einen Draht miteinander verbunden sind. Der Draht wird mit kleinen Gummiringen oder feinen Drähten an dem Bracket befestigt.
Selbstligierende Brackets besitzen eine integrierte Verschlussmechanik, so dass der Draht nicht mehr mit kleinen Gummis befestigt werden muss, sondern direkt in die Brackets eingeklickt werden kann. So erfolgt die Übertragung der notwendigen Kraft auf die Zähne, die sich langsam durch den Draht in die richtige Position bewegen.
Die festsitzende Zahnspange ist eine Behandlungsmethode der Kieferorthopädie, die es möglich macht, Zähne dreidimensional zu bewegen. Diese Zahnspange besteht aus Metall- oder Keramikbrackets die durch einen Draht miteinander verbunden sind. Der Draht wird mit kleinen Gummiringen oder feinen Drähten an dem Bracket befestigt.
Selbstligierende Brackets besitzen eine integrierte Verschlussmechanik, so dass der Draht nicht mehr mit kleinen Gummis befestigt werden muss, sondern direkt in die Brackets eingeklickt werden kann. So erfolgt die Übertragung der notwendigen Kraft auf die Zähne, die sich langsam durch den Draht in die richtige Position bewegen.
Clear Aligner
Clear Aligner bieten eine Reihe von Behandlungsoptionen an. Hierbei handelt es sich um durchsichtige Schienen, die so gut wie unsichtbar sind und bei Bedarf herausgenommen werden können.
Die Schienen bestehen aus einer dünnen transparenten Folie und werden nach genauer Vermessung des Gebisses und nach den Angaben des Kieferorthopäden in einem besonderen computergestützten Verfahren hergestellt.
Clear Aligner bieten eine Reihe von Behandlungsoptionen an. Hierbei handelt es sich um durchsichtige Schienen, die so gut wie unsichtbar sind und bei Bedarf herausgenommen werden können.
Die Schienen bestehen aus einer dünnen transparenten Folie und werden nach genauer Vermessung des Gebisses und nach den Angaben des Kieferorthopäden in einem besonderen computergestützten Verfahren hergestellt.
Schnarchtherapie
Es existieren zwei Formen des Schnarchens: Zum einen das Schnarchen ohne Atemstillstände; dies kann sehr störend sein, wird von Medizinern aber meistens als „harmlos“ bewertet. Die zweite Form stellt das krankmachende Schnarchen dar, welches durch zeitweilige Atemstillstände (obstruktive Apnoe) gekennzeichnet ist. Den Schweregrad einer schlafbezogenen Atemstörung sollte ein Schlafmediziner feststellen.
Beim „harmlosen Schnarchen“ sowie bei leicht bis mittelgradiger obstruktiver Schlafapnoe kann ein intraorales Schnarch-Therapie-Gerät helfen.
Beim Schnarchen verschließt die erschlaffte Muskulatur der Zunge und der weiche Gaumen die Atemwege. Das Intraorale Schnarch-Therapie-Gerät verlagert Unterkiefer und Zunge nach vorne und öffnet dadurch die Atemwege.
-Wir beraten Sie gerne. -
Es existieren zwei Formen des Schnarchens: Zum einen das Schnarchen ohne Atemstillstände; dies kann sehr störend sein, wird von Medizinern aber meistens als „harmlos“ bewertet. Die zweite Form stellt das krankmachende Schnarchen dar, welches durch zeitweilige Atemstillstände (obstruktive Apnoe) gekennzeichnet ist. Den Schweregrad einer schlafbezogenen Atemstörung sollte ein Schlafmediziner feststellen.
Beim „harmlosen Schnarchen“ sowie bei leicht bis mittelgradiger obstruktiver Schlafapnoe kann ein intraorales Schnarch-Therapie-Gerät helfen.
Beim Schnarchen verschließt die erschlaffte Muskulatur der Zunge und der weiche Gaumen die Atemwege. Das Intraorale Schnarch-Therapie-Gerät verlagert Unterkiefer und Zunge nach vorne und öffnet dadurch die Atemwege.
-Wir beraten Sie gerne. -
White Spot Removal
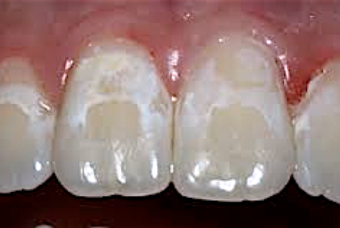
Als „white spots“ werden sog. Entkalkungen der Zähne durch mangelhafte Zahnpflege bezeichnet. Vereinzelt gibt es auch angeborene weiße Verfärbungen der Zähne. Ob sie mit diesem Verfahren vollständig zu entfernen sind, muss überprüft werden. In der Regel kommt es aber zu einer starken Verbesserung der Optik.
Die Zähne werden dabei mit einer säurehaltigen Spezialpaste über mehrere Minuten poliert, so dass sich die demineralisierten Bereiche anlösen. Durch das Polieren wird ein Großteil relativ schonend entfernt. Anschließend wird die Zahnoberfläche mit einem hoch fluoridhaltigen Lack remineralisiert.
-Wir beraten Sie gerne. -
Als „white spots“ werden sog. Entkalkungen der Zähne durch mangelhafte Zahnpflege bezeichnet. Vereinzelt gibt es auch angeborene weiße Verfärbungen der Zähne. Ob sie mit diesem Verfahren vollständig zu entfernen sind, muss überprüft werden. In der Regel kommt es aber zu einer starken Verbesserung der Optik.
Die Zähne werden dabei mit einer säurehaltigen Spezialpaste über mehrere Minuten poliert, so dass sich die demineralisierten Bereiche anlösen. Durch das Polieren wird ein Großteil relativ schonend entfernt. Anschließend wird die Zahnoberfläche mit einem hoch fluoridhaltigen Lack remineralisiert.
-Wir beraten Sie gerne. -
Mini-Implantate
In Fällen wo einseitig Zähne nicht angelegt sind oder gezogen werden müssen ist das Mini-Implantat das Mittel der Wahl. Auch bei Zahnbewegungen über lange Strecken ist das Mini-Implantat eine hervorragende Lösung. So wird die Kraft, die zur Bewegung der Zähne nötig ist durch das Mini-Implantat bereit gestellt und die Nachbarzähne werden nicht belastet. So können Mittellinienverschiebungen und Überlastungen der Ankerzähne vermieden werden.
-Wir beraten Sie gerne. -
In Fällen wo einseitig Zähne nicht angelegt sind oder gezogen werden müssen ist das Mini-Implantat das Mittel der Wahl. Auch bei Zahnbewegungen über lange Strecken ist das Mini-Implantat eine hervorragende Lösung. So wird die Kraft, die zur Bewegung der Zähne nötig ist durch das Mini-Implantat bereit gestellt und die Nachbarzähne werden nicht belastet. So können Mittellinienverschiebungen und Überlastungen der Ankerzähne vermieden werden.
-Wir beraten Sie gerne. -
Bleaching
Durch Bleaching kann die Zahnfarbe aufgehellt werden. Inzwischen gibt es viele verschiedene Varianten dieses Verfahrens.
Wir verwenden die am besten untersuchte und schonendste Variante. Mit Hilfe von speziellen Kunststoffschienen, die für jeden Patienten individuell angefertigt werden, wird ein Bleaching-Gel angewendet. Die Behandlung kann der Patient selbst zu Hause durchführen. Die Schienen sind immer wieder verwendbar nur das Bleaching-Gel muss nachgekauft werden. Meist muss das Bleaching spätestens nach einem Jahr wiederholt werden.
-Wir beraten Sie gerne. -
Durch Bleaching kann die Zahnfarbe aufgehellt werden. Inzwischen gibt es viele verschiedene Varianten dieses Verfahrens.
Wir verwenden die am besten untersuchte und schonendste Variante. Mit Hilfe von speziellen Kunststoffschienen, die für jeden Patienten individuell angefertigt werden, wird ein Bleaching-Gel angewendet. Die Behandlung kann der Patient selbst zu Hause durchführen. Die Schienen sind immer wieder verwendbar nur das Bleaching-Gel muss nachgekauft werden. Meist muss das Bleaching spätestens nach einem Jahr wiederholt werden.
-Wir beraten Sie gerne. -
Dr. med. dent. F. Friesen
Fachzahnarzt für Kieferorthopädie
Westcellertorstr. 15A
29221 Celle
Tel: 05141 909731
Fachzahnarzt für Kieferorthopädie
Westcellertorstr. 15A
29221 Celle
Tel: 05141 909731
